综合性白内障
2023-10-11 15:36:39
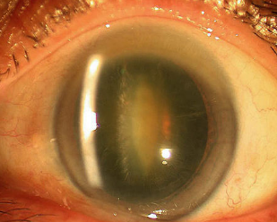
徐州白内障报销的比例要看选择的晶体,徐州白内障手术的价格,一般在10000-20000元,但具体的价格取决于手术方式,以及各地区不同医院、所在区域,具体的价格可能会有所差异。
2021-01-12 14:33:24
我看到了9个月亮,中国医生一招解决!“洋女婿”患白内障几近失明,在厦门眼科中心手术
2020-09-18 11:56:34
9月28日,橙红岁月-视觉追忆暨上海和平眼科医院大咖中秋见面会诚邀您的到来!
























